Cette partie de la profession comporte plusieurs possibilités
Le métier de l'orthodontie
Le métier d’orthodontie:
- La façon traditionnelle qui est l’appareil amovible avec des crochets et systèmes de ressorts et/ou vérins.
- La pose de bracket collées sur les dents avec un fil permettant de repositionner les dents.
- Le système de gouttières type Invisalign.
La réalisation traditionnelle avec la résine nécessite l’intervention du prothésiste pour la fabrication de la prothèse qui ne peut être faite seule par le Dentiste.
Le système de bracket, lui est réalisé de façon autonome par le Chirurgien-Dentiste sans intervention du prothésiste.
Le dernier système basé sur des gouttières traitées de façon numérique. (A voir si dans le temps ça ne va pas causer des problèmes d’ATM ?)

vérin orthodontie
sert à agrandir la mâchoire supérieure à l’aide d’un vérin et sont fréquemment utilisées par l’orthodontiste.

Bracket orthodontique
Ce sont des boîtiers (communément appelés « bagues ») en métal ou en céramique qui sont collés directement sur la face externe des dents, qui font partis de l’appareil multi-attaches.

Gouttière Ivisalign
Les gouttières permettent de réaliser un traitement orthodontique classique avec précision tout en étant quasiment invisibles.

appareil orthodontique résine
Les plaques amovibles ou « faux palais » ont de nombreuses indications. Leur action principale est orthopédique : ces plaques stimulent la croissance de la mâchoire dans les 3 sens de l’espace (transversal, horizontal et vertical).
Le métier de la prothèse Conjointe ou prothèse fixe collée
Le métier de la conjointe:
Cette activité professionnelle consiste uniquement en la réalisation de bridges et couronnes ou bien tout ce qui se fixe sur les dents naturelles, tel que Inlay, onlay…
Il s’agit d’un métier artisanal basé sur de la reconstruction d’éléments dentaires existants ou de la restauration de partie de dents (c’est le seul à avoir un titre de Meilleurs Ouvriers de France), preuve que c’est bien de l’artisanat.
Le prothésiste de Conjointe ne travaille que sur des éléments préparés par le Chirurgien-Dentiste qui donne les éléments à suivre et à reproduire.
Le protésiste de conjointe n’a pas besoin de connaissances particulières mais seulement de maîtriser les matériaux (poudre de céramique, métallurgie…) ou outils informatiques qui l’assistent dans ses réalisations.

Prothésiste céramiste
Le métier de l'adjointe ou prothèse amovible
Le métier de l’adjointe:
Le prothésiste de prothèse adjointe ne travaille que lorsque le Chirurgien-Dentiste a fait tous les soins et extractions nécessaires permettant au prothésiste de reconstruire la partie fonctionnelle et esthétique du patient.
Les prothèses sont soit construites avec des ancrages sur les dents restantes, soit en recouvrant les muqueuses et maintenues grâce à l’utilisation des soutiens musculaires, ou bien sur des implants lorsque possible… .
Il est nécessaire dans cette partie professionnelle de maitriser beaucoup de connaissances, telles que l’anatomie et des règles physiologiques entre autre, ce qui n’est pas nécessaire dans les autres secteurs artisanaux de la prothèse dentaire.
Le prothésiste travaille en collaboration avec les Chirurgiens-Dentistes avec les aléas de transmissions de données quelques fois compliquées.
Dans ce cas le Denturiste intervient directement sur toute la réalisation prothétique de la prise d’empreinte, la préparation, jusqu’à la remise finale au patient, ce qui ne fait qu’un seul intervenant dûment qualifié sur ce type de travail.
Le Denturiste est seul décisionnaire avec le concours du patient de ce qui est le plus adapté au cas.

Prothèse complète
amovible haut et bas

Châssis métallique, stellite
Le châssis métallique aussi appelé stellite

Articulateur
LA BASE TECHNIQUE DES PROTHÈSES COMPLÈTES

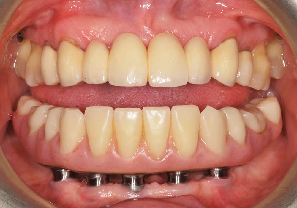
prothèse implanto-portée
Prothèse complète adjointe sur implants vissée
Formation de Denturiste depuis 2018
- Soins de Premier Recours : Comment l’ONCD Met en Péril les Prothésistes-Dentaires - 9 février 2025
- 5. Prothésiste dentaire et denturologie : une complémentarité au service de la santé - 4 décembre 2024
- Formation de denturiste en France : Réponses aux fausses accusations d’illégalité - 9 septembre 2024